sobre nós

Excelência em Prótese Dentária

Com mais de 20 anos de experiência no segmento, nossa equipe é formada por profissionais altamente qualificados, que ao longo das décadas vêm aprimorando suas técnicas e acompanhando as constantes evoluções do setor. Atuamos com foco em próteses cerâmicas de alta exigência estética e funcional, atendendo dentistas e clínicas que buscam precisão, durabilidade e excelência em cada caso.

Nossa trajetória é marcada pela dedicação à qualificação contínua, investimento em tecnologia de ponta e compromisso em oferecer soluções compatíveis com as mais altas demandas do mercado odontológico atual.

nosso trabalho

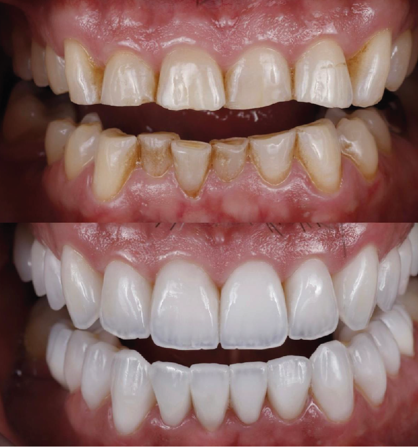
COROAS E PONTOS EM CERÂMICA

Oferecemos soluções em coroas e pontes cerâmicas com alto padrão estético e funcional, utilizando materiais como zircônia monolítica, zircônia translúcida e cerâmica estratificada. Nossos trabalhos são realizados com tecnologia CAD/CAM, garantindo precisão de adaptação e acabamento refinado.

Atendemos a demandas estéticas e funcionais com foco em resistência mecânica, biocompatibilidade e naturalidade óptica. Cada peça é personalizada conforme o planejamento do profissional, respeitando anatomia, espessura e exigências clínicas.

lentes de contato dental

As lentes de contato dental são laminados cerâmicos ultrafinos, indicados para correções estéticas minimamente invasivas em dentes anteriores, oferecendo resultados naturais e duradouros com mínima ou nenhuma necessidade de desgaste dentário.
Confeccionadas em cerâmica feldspática ou dissilicato de lítio, as lentes proporcionam excelente estética, estabilidade de cor e resistência, respeitando a anatomia e a individualidade de cada paciente. Trabalhamos com sistemas digitais CAD/CAM e escaneamento intraoral, o que garante precisão no design, adaptação marginal e fidelidade ao planejamento digital do caso.
Nossa equipe técnica atua em sinergia com o clínico desde o enceramento diagnóstico até a prova estética e cimentação, priorizando:
• Espessura controlada (entre 0,2 mm e 0,5 mm)
• Caracterizações personalizadas
• Translucidez ajustada ao substrato
• Acabamento polido ou glazurado conforme o protocolo
Com alto controle de qualidade laboratorial, entregamos peças com estética superior e previsibilidade clínica, ideais para reabilitações estéticas que exigem excelência. 

PRÓTESE SOBRE IMPLANTE

As próteses sobre implante representam a solução mais segura e previsível para a reabilitação de pacientes com perdas dentárias unitárias, múltiplas ou totais, oferecendo estabilidade funcional, estética e conforto ao longo prazo.
Nossa empresa atua com diferentes sistemas de conexão e soluções protéticas, incluindo:
• Coroas unitárias cimentadas ou parafusadas
• Próteses fixas múltiplas (protocolos, barras fresadas e estruturas híbridas)
• Overdentures com encaixes tipo O-ring, barra-clipe ou Locator®
Trabalhamos com materiais como zircônia monolítica, zircônia com estrutura fresada, titânio e resinas de alta performance, sempre com produção digital via sistemas CAD/CAM, o que garante precisão de assentamento passivo, ajuste oclusal e adaptação marginal ideal.
Nosso fluxo digital integrado permite:
• Planejamento reverso com base no enceramento diagnóstico
• Prototipagem para prova funcional e estética
• Produção com usinagem de alta precisão
• Suporte técnico ao clínico durante todas as etapas
Cada caso é conduzido com atenção aos protocolos cirúrgico-protéticos, respeitando torque, passividade e estabilidade da conexão. O resultado são reabilitações com longevidade clínica, estética previsível e função mastigatória reestabelecida. 

FACETAS E RESTAURAÇÕES EM CERÂMICA

Oferecemos soluções estéticas e funcionais de alta performance com facetas e restaurações cerâmicas (inlays, onlays, overlays), confeccionadas em cerâmica feldspática ou dissilicato de lítio, com máxima precisão e naturalidade.

Utilizamos CAD/CAM, garantindo adaptação, resistência e estética personalizada para cada caso clínico. Ideal para correções mínimas, substituição de resinas antigas e reabilitações estéticas com preservação estrutural.

Alta fidelidade ao planejamento digital, acabamento refinado e suporte técnico durante todas as etapas.

Entre em contato e descubra como potencializar seus resultados clínicos com nossas soluções cerâmicas.


FALE CONOSCO

endereço Av. Dom João VI, 1241, Sala 102 - Palmeiras
Belo Horizonte - MG | CEP 30.570-522